For many people, arsenic is synonymous with poison, so it is perhaps a surprise that some plants, such as the fern Pteris vittata (Figure 1) seem to quite deliberately accumulate large amounts of it. What is more, the plant converts it to the most toxic inorganic form known. How does it do this?
First some background; while there is some evidence that arsenic is required for health [1], this is debatable. On the other hand, the poisonous nature of arsenic compounds was understood by the ancient Greeks and Romans, and it has been used throughout history as a homicidal and suicidal agent. It is found in two environmentally common oxy acids; arsenous acid (H3AsO3), and arsenic acid (H3AsO4), whose salts are known as arsenites and arsenates, respectively. Of these, the trivalent arsenic species are the most toxic. The infamous agent of murder is arsenic trioxide (white arsenic or As2O3), which is simply the (reputedly tasteless) anhydride of arsenous acid.
The fern P. vittata takes up arsenate from soils [2], transforms it to the more toxic arsenite [3], and stores it within its tissues. Quite remarkable levels of arsenic can be accumulated - up to 1 % dry weight. The plant, which presumably does this to prevent itself from being eaten, is quite unaffected by its toxic cargo, and even seems to grow slightly better in its presence. Pickering and co-workers have used X-ray Absorption Spectroscopy Imaging, conducted on SSRL's BL9-3, to begin to unravel how the fern carries out this fascinating process. Their technique [4] combines X-ray absorption fluorescence microprobe maps taken at carefully selected energies to yield beautiful images of the distribution of the arsenic species in vivo.
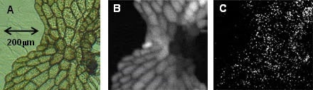
Since ferns have two distinct generations in their life cycle - the familiar leafy sporophyte (Figure 1), and the sexually active but rather tiny gametophyte - Pickering et al. investigated both generations. They found that arsenate is transported through the vascular tissue from the roots to the fronds (leaves), and only there is it reduced to arsenite and apparently stored in the vacuole. Arsenic-thiolate species observed surrounding the veins in the leaves may be intermediates in this reduction. Arsenic was found to be excluded from reproductive areas (spores and sporangia), and concentrated within nearby sterile hairs or paraphyses. Being only one cell thick, the gametophytes are ideal for studying the arsenic distribution within cells. Pickering et al. showed that arsenite is compartmentalized within the large central cell vacuole (Figure 2). In the gametophyte arsenic was found to be excluded from cell walls, rhizoids and reproductive areas.
Hid study demonstrates the strength of the in situ capabilities of XAS imaging by directly visualizing physiological processes in living plant tissues. The study also provides insights which may prove useful for phytoremediating arsenic-contaminated sites.
Primary Citation
Pickering, I.J., Gumaelius, L., Harris, H.H., Prince, R.C., Hirsch, G., Banks, J.A., Salt, D.E., George, G.N. "Localizing the biochemical transformations of arsenate in a hyperaccumulating fern". Environ. Sci. Technol. , 2006, 40, 5010-5014.
References
- Nielsen, F.H. Biol Trace Elem Res. 1990, 26-27, 599-611.
- Ma L.Q.; Komar K.M.; Tu C.; Zhang W.; Cai Y.; Kennelley E.D. Nature 2001, 409, 579.
- Webb, S.M.; Gaillard, J-F; Ma, L.Q.; Tu, C. Environ. Sci. Technol., 2003, 37, 754-760.
- Pickering, I.J., Prince, R.C., Salt, D.E., George, G.N. Proc. Natl. Acad. Sci. U.S.A. 2000, 97, 10717-10722.